
«Ohne Pathologie gibt es keine Krebsdiagnose»

Ohne die Arbeit der Pathologie gäbe es keine verlässliche Krebsdiagnose. Dr. med. Tereza Losmanova, Oberärztin am Institut für Gewebemedizin und Pathologie, erklärt im Gespräch, wie Gewebeproben untersucht werden, welche modernen Methoden zum Einsatz kommen und warum ihre Befunde entscheidend für die Wahl der richtigen Therapie sind.
Dr. Losmanova erklärt
Dr. Losmanova, viele Menschen verbinden Pathologie mit Leichen und Krimis. Was machen Sie tatsächlich?
Dr. med. Tereza Losmanova : Das ist ein weit verbreitetes Missverständnis. Die Rechtsmedizin beschäftigt sich mit aussergewöhnlichen Todesfällen, also mit Verstorbenen. In der klinischen Pathologie hingegen untersuchen wir mehrheitlich Gewebeproben lebender Patientinnen, etwa zur Abklärung von Entzündungen oder Krebserkrankungen. Der Begriff Pathologie bedeutet «Lehre von der Krankheit» (griechisch pathos = Leiden, Krankheit).
Welche Schritte folgen, wenn bei einem Patienten ein Krebs - verdacht besteht?
Losmanova: Zunächst erfolgt meist eine Bildgebung, zum Beispiel eine Computertomografie. Zeigt sich dabei eine verdächtige Stelle, wird eine Biopsie entnommen oder der Tumor operativ entfernt. Die Gewebeprobe kommt anschlies send zu uns in die Pathologie.
Was passiert dann mit der Probe?
Losmanova: Im Labor der Pathologie wird die Probe fixiert, in sehr dünne Schnitte zerlegt, gefärbt und unter dem Mikroskop untersucht, heute oft auch digital. Schon in diesem ersten Schritt können wir häufig unterscheiden, ob Zellen gutartig oder bösartig sind. In einem nächsten Schritt bestimmen wir Tumorart, Organzugehörigkeit, Grad der Bösartigkeit und weitere biologische Eigenschaften.

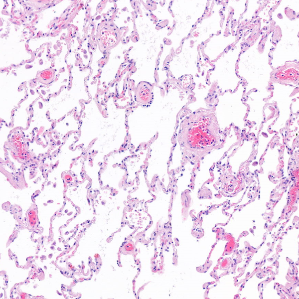
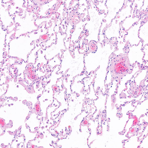
Gesundes Lungengewebe: Mikroskopische Aufnahme einer gesunden Lunge. Die weissen Bereiche sind Lufträume, dazwischen liegen feine Gewebestrukturen, in denen der Gasaustausch stattfindet.
Welche Massnahmen sorgen dafür, dass Tumordiagnosen möglichst sicher und zuverlässig sind?
Losmanova: Damit Diagnosen so genau wie möglich sind, gibt es mehrere Sicherheitsmassnahmen: Jede neue Diagnose wird von mindestens zwei Expertinnen überprüft (Vier-Augen-Prinzip). Alle Proben werden sorgfältig dokumentiert und nachverfolgt. Bei seltenen Tumoren ziehen wir spezialisierte Zentren hinzu, und zusätzlich können nationale oder internationale Zweitmeinungen eingeholt werden.
Neben der klassischen Mikroskopie – welche modernen Verfahren nutzen Sie?
Losmanova: Ein wichtiger Baustein ist die Immunhistochemie. Dabei färben wir Zellen mit Antikörpern, um gezielt bestimmte Marker sichtbar zu machen – zum Beispiel zur Abklärung, ob ein Tumor metastasiert hat oder auf eine bestimmte Therapie anspricht. Ausserdem gewinnt die Molekularpathologie zunehmend an Bedeutung: Wir analysieren die DNA oder RNA von Tumoren, um genetische Veränderungen zu erkennen, die gezielte Therapien ermöglichen.
«Unsere Ergebnisse sind die Grundlage für die Diagnose und Behandlung der meisten Tumorerkrankungen.»
Wie beeinflussen Ihre Befunde die Therapieentscheidungen?
Losmanova: Unsere Ergebnisse sind die Grundlage für die Diagnose und Behandlung der meisten Tumorerkrankungen. Ob Chemotherapie, Immuntherapie oder zielgerichtete Medikamente sinnvoll sind, hängt direkt von unseren Analysen ab. Deshalb nehmen wir auch an interdisziplinären Tumorboards teil, in denen das Behandlungskonzept gemeinsam mit den klinischen Kollegen anderer Disziplinen festgelegt wird. Alle Befunde – von der Histologie über spezifische Marker bis zur Molekularpathologie – werden an das behandelnde Team weitergegeben.
Und wenn während einer Operation sofort Klarheit gebraucht wird?
Losmanova: Dann nutzen wir die Schnellschnittdiagnostik. Innerhalb weniger Minuten können wir beurteilen, ob ein Tumor vorhanden ist oder ob die Ränder der Resektion frei von Krebszellen sind. Diese Ergebnisse sind zwar nicht so detailliert wie die endgültige Diagnose, aber entscheidend für den Verlauf der Operation.
Haben Sie Kontakt zu den Patientinnen?
Losmanova: Traditionell nicht, wir arbeiten im Hintergrund. Inzwischen etablieren jedoch verschiedene Institute neue Sprechstundenangebote, in denen Befunde bei bestimmten Diagnosen direkt erklärt und visualisiert werden. Das hilft vielen Betroffenen, besser zu verstehen, was in ihrem Körper passiert. Zudem führen Pathologen auch einige Punktionen selbst durch, dies ist jedoch die Ausnahme.

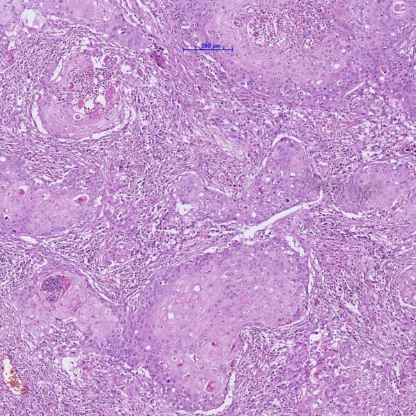
Lungentumor: Mikroskopische Aufnahme einer Gewebeprobe aus einem Lungentumor. Die vielen dicht beieinanderliegenden atypischen Zellen zeigen, dass es sich um ein Karzinom handelt.
Wie lange werden Gewebeproben aufbewahrt, und welchen Nutzen hat das für Patientinnen?
Losmanova: Die Proben werden mindestens 20 Jahre aufbewahrt. So können sie jederzeit erneut untersucht werden – sei es, wenn sich neue therapeutische Möglichkeiten entwickeln oder falls ein Tumor erneut auftritt. Ausserdem erleichtert dies die Teilnahme an klinischen Studien und in der Forschung, da frühere Proben für weitere Analysen herangezogen werden können.
Wo sehen Sie die Zukunft der Pathologie?
Losmanova: In der Digitalisierung und der Nutzung von Künstlicher Intelligenz. Digitale Bilder können unter anderem weltweit geteilt werden, und KI unterstützt uns zum Beispiel beim Zählen von Zellen oder bei standardisierten Analysen. Sie ersetzt uns aber nicht, sondern ergänzt unsere Expertise. Zudem entwickelt sich die molekulare Pathologie rasant weiter und leistet einen wichtigen Beitrag zur Diagnostik neuer Erkrankungen sowie zur Identifikation neuer therapeutischer Zielstrukturen.
«Wir liefern die Grundlage, damit jede Patientin und jeder Patient die bestmögliche Therapie erhält – von der ersten Probe bis zur gezielten Behandlung.»
Sie beschäftigen sich besonders mit Lungenkrebs – warum ist dieses Thema für Sie so wichtig?
Losmanova: Lungenkrebs ist sehr häufig und leider oft tödlich. Eine präzise Diagnostik ist daher besonders wichtig, zum Beispiel um kleinzellige von nicht-kleinzelligen Tumoren zu unterscheiden. Immuntherapien und andere neue Therapien gewinnen zunehmend an Bedeutung, und die Pathologie trägt auch einen wichtigen Beitrag zur Forschung dieser Erkrankung bei.
Zum Schluss: Was begeistert Sie besonders an Ihrer Arbeit als Pathologin?
Losmanova: Ohne Pathologie gibt es keine Krebsdiagnose. Wir liefern die Grundlage, damit jede Patientin und jeder Patient die bestmögliche Therapie erhält – von der ersten Probe bis zur gezielten Behandlung. Dass wir so direkt dazu beitragen können, Leben zu retten und die Behandlung von Menschen zu verbessern, macht unsere Arbeit für mich sehr sinnvoll.
Datum: 05.10.2025